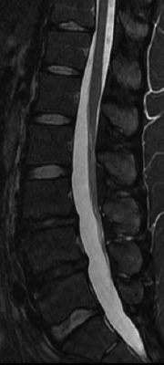
椎間板は、背骨(脊柱)を構成する椎骨と椎骨の間に存在し、背骨に加わる衝撃を緩和するクッションの役割を担っています。椎間板は中心部にゼリー状の髄核と呼ばれる柔らかい組織があり、その周囲の線維輪と呼ばれる丈夫な外層とで構成されています。髄核は子供ではゼリー状ですが、年齢とともにみずみずしさがなくなっていきます。この椎間板に強い圧力が加わったり、線維輪の弾力性が低下すると、亀裂が生じ、椎間板の内容物が押し出され突出します。これを椎間板ヘルニアと呼びます(図)。突出した椎間板が神経を圧迫すると下肢に痛みが生じることがあります。症状は、急性の激しい腰痛や下肢痛です。症状が進行すると下肢の力が入りにくくなり、つまづきやすいなどの運動障害が起こります。また、稀ではありますが、馬尾と呼ばれる腰椎部の神経が、ヘルニアにより強く圧迫されると、尿や排便の障害を生じることがあります。 痛みやしびれ感などの症状は、腰の前屈動作(前かがみ)や椅子に座った時に強くなることがあります。診察では、あお向けに寝て膝を伸ばした状態で片方ずつ足を持ち上げていく下肢伸展挙上テストで下肢に走る痛みが誘発されます。レントゲン検査では椎間板や神経の描出が困難なためMRIによる検査が必要です(図)。
特殊なタイプのヘルニアもありますので、椎間板ヘルニアに対しては脊椎脊髄病専門の整形外科専門医(脊椎脊髄病学会指導医)の診断と治療が必要です。通常は手術をせずに保存治療(薬物、注射、理学療法など)で軽快しますが、保存治療にも拘わらず下肢の痛みが治らない場合、下肢の麻痺が進行する場合や排尿、排便障害がでてくるような場合には、手術が必要です。椎間板ヘルニアの種類によってはヘルニアを縮小させる薬剤を椎間板内に注射する治療(椎間板酵素注入療法)が行われることもあります。
背骨には神経の通り道である脊柱管と呼ばれる孔があります。長い年月の間、体を支え続けていると背骨が変形して脊柱管が狭くなってきます。腰椎部で脊柱管が狭くなった状態を腰部脊柱管狭窄症と呼びます。腰部脊柱管狭窄症は、50歳代以降から徐々に増えてきます。脊柱管が狭くなると、そのなかを走っている神経(馬尾や神経根)が圧迫されて、坐骨神経痛と呼ばれる下肢の神経痛やしびれ感、麻痺(脱力)が発生します。時には、両下肢のしびれ感の他に、股間のほてり、排尿後にまだ尿が完全に出し切れない感じ(残尿感)、便秘などの膀胱・直腸症状が発生します。これらの症状は、主に歩行時により惹起されます。そのため腰部脊柱管狭窄症では、長距離を続けて歩くことができなくなり、歩行と休息を繰りかえす間欠跛行(かんけつはこう)という状態になります。歩くと下肢の痛みやしびれ感が強くなってくる、あるいは下肢の症状に排尿の異常を伴うような症状があれば腰部脊柱管狭窄症が疑われますので専門医に診て貰った方がよいでしょう。
主な治療法には、薬物療法、ブロック療法、そして手術療法があります。自分で出来る日常生活での工夫としては、立位の作業の時には10cm程度の踏み台に片足をのせる、歩行の時に少し前屈みになるように杖をついたり、押し車を利用するといったことが挙げられます。
第4腰椎(L4)と第5腰椎(L5)の間の横断面をみると、変性した椎間板の膨隆(a)、肥厚した黄色靭帯(b)、そして変性肥大した椎間関節(c)により、硬膜管が絞扼されています。これが脊柱管狭窄です。一方、第5腰椎(L5)と第1仙椎(S1)との間の横断面では、脊柱管狭窄は認められません。
変性すべり症は、腰の骨(腰椎)が前後にずれてしまう病気で、中年以降の女性に好発し、第4番目の腰椎によく認められます。原因は明らかではありませんが、多くは加齢とともに腰椎の椎間板や関節・靭帯がゆるみ、腰椎が不安定性(ぐらつき)をともなってずれるようになり、脊柱管(神経の通り道)が狭窄することで神経が圧迫されて、腰痛や下肢の痛み・しびれ感が生じます。進行とともに症状は変化します。初めは腰痛が主体ですが、進行すると神経の圧迫による間欠跛行(かんけつはこう/長い距離を歩くと痛み・しびれ感が強くなり、しゃがみこむと症状が軽減する)を認めたり、さらに進行すると安静時にも下肢の痛みやしびれ感が出現するようになります。治療は保存療法が原則です。腰痛が強い場合は、コルセットを装用し日常生活で腰に負担のかかる動作を避けることが重要です。鎮痛剤などを内服し、痛みが軽減してきたら腰部のストレッチングや筋力訓練をおこないます。下肢の疼痛やしびれ感が強い場合、これらの保存療法で改善の得られない症例では除圧術や脊椎固定術などの手術が必要となることがあります。適切な治療が行われれば、治療後の経過は比較的良好ですので、早めに脊椎脊髄病の専門医の診察をおすすめします。
脊椎分離症というのは、脊椎の関節突起間部といわれる部位で本来つながっているべき骨の連続性が絶たれてしまっている(分離している)疾患です。主に5番目の腰椎(腰の骨)に生じ、スポーツを行なう学童期に多く発症することから原因は腰にかかる繰り返しの外力による疲労骨折と考えられていますが、一部遺伝も関与していると考えられています。本疾患の主な症状は腰痛ですが、運動時には腰痛があっても普段はあまり症状がないことが多いため、放置される例も少なくありません。しかし、早期にコルセットやギプス固定などの適切な保存的治療を行うことで骨折した部分の癒合が期待できます。早期診断にはX線だけでなく、CTやMRIなどの検査が有用です。したがって、お子さんに運動時の腰痛が生じた場合は早期に整形外科専門医を受診することが大切です。分離症が放置された場合、隣り合った脊椎との間の安定性が損なわれてしまうため骨と骨との位置関係にずれが生じることがあります。この状態を脊椎分離すべり症と言います。すべりがひどくなると下肢の痛みやシビレが出現することもあり、時に手術が必要となることもあります。特に骨の成長が不十分な若年者にすべりが生じやすいと言われています。したがって早期の適切な診断と治療が重要です。腰痛が長引く場合や下肢の痛み・シビレが出現した場合、早めに脊椎脊髄病の専門医を受診することをお勧めします。
変性側弯症は加齢に伴って椎間板や椎間関節が変性して椎体を支える力が弱くなり、脊柱が側方に曲がってくる(側弯)状態です。主な初期症状は腰痛ですが、骨棘などの椎体変形や脊柱のねじれ(回旋変形)を伴ってくると神経根や馬尾を圧迫して、下肢のしびれ感、痛みや筋力低下が生じる場合も少なくありません。また、側弯が進行すると腰痛が悪化したり、体幹のバランスも悪くなり、日常生活に支障を生じます。治療は、症状が軽度の場合はコルセットなどで保存的に治療しますが、症状が強い場合は手術が必要になります。その際、変形した骨や軟骨を削り、症状を起している神経根や馬尾の圧迫を取る(除圧術)だけでよくなる場合もあります。しかし、骨を削ったために後でさらに変形が進む場合もあるので、側弯の程度や神経の圧迫の状態によっては脊椎に骨盤から取った骨を移植して固める脊椎固定術が必要な場合もあります(図)。
その場合には特殊な金属のスクリューやロッドで背骨を支える必要があることが多く、特殊な技術が必要となります。したがって、治療法の選択、固定範囲など専門性の高い知識が必要になりますので、脊椎脊髄病の専門医の診察を受けることをお勧めします。

椎間板は脊柱(せぼね)の構成成分の1つであり、椎骨と椎骨の間に存在し、脊柱に動きをもたせ、クッションとしての役割も担っています。椎間板は中央の髄核(ゼリー状の柔らかい組織)とそれを取り囲む丈夫なコラーゲン線維からなる線維輪で構成されています。椎間板に常に負担がかかっており加齢やストレスなどで髄核の水分が減少して変性という現象(すなわち老化)が起こってきます。こうした老化現象によって椎間板の支持性やクッションとしての機能が低下すると、周りの神経を刺激したり、靭帯、関節や筋肉に負担がかかり、腰痛の原因になることがあります。このように椎間板の変性による腰痛が生じた状態を腰部椎間板症と呼びます。症状は急性、慢性の腰痛で体動時(特に前屈位)に痛みが強くなることが多く、下肢症状や膀胱直腸症状は伴うことはまれです。腰椎椎間板症は、診察だけでは診断が難しい場合もあり、レントゲンでも大きな異常が認められない事も少なくないため、MRIという画像検査が必要になる場合もあります(図)。
治療は鎮痛剤の内服やコルセットなどの保存療法が基本となり、ほとんどの場合症状が軽減しますが、時に日常生活が制限される様なひどい腰痛が長期間続き、手術が必要になる場合があります。いずれにせよ、MRIで椎間板に異常が見られたからといって必ずしも全例に腰痛が出るわけではなく、腰部椎間板症の診断には経験と専門知識が不可欠ですので、腰痛が長引く場合は専門医の診察を受けることをお勧めします。
頚椎は背骨の首の部分にあたる骨のことで、7つの骨からなっています。頚椎と頚椎の間には椎間板が存在し、脊柱に可動性を持たせながらクッションとしての役割も担っています。椎間板は中央の髄核と外側の線維輪から構成されており、まるで車のタイヤのようになっていますいます。髄核は水分を多く含む柔らかい物質からなり(タイヤの空気の部分)、線維輪は丈夫なコラーゲン線維からなるシートが層状に重なった構造(周りのゴムの部分)をとっており、中央の髄核を取り囲んでいます。
椎間板は常に力学的負荷にさらされていることから、10代後半から変性(老化)が始まり、髄核の水分含有量の減少や線維輪に小さな断裂や亀裂が生じます。その亀裂から髄核が脱出した状態が椎間板ヘルニアです(図)
頚椎椎間板ヘルニアは頚椎の疾患の中で頻度の高い病態の一つであり、中年以降に多くみられます。症状はヘルニアの突出方向によって異なります。一般的には左右どちらかに偏って突出することが多く、脊髄から分岐した片側の神経根(神経の枝)を圧迫することにより、片側の頚部から肩および肩甲骨・腕などの痛みやしびれ感を生じ、筋力低下を呈することもあります。一方、中央に大きく突出した場合には脊髄の本幹を圧迫することにより、手指の細かな運動がしづらい、歩行障害や膀胱直腸障害(頻尿、尿閉、尿失禁など)などの症状が出現します。治療は保存的な治療が中心ですが、脊髄や神経根の圧迫による神経障害が出現した場合には早期に手術を要する場合もあります。神経障害を長期間放置した場合には回復が困難になってしまうこともありますので、上記の様な症状を自覚した場合には脊椎脊髄病の専門医の受診をお勧めします。
くびの脊柱(せぼね)は他と同じように頚椎と呼ばれる椎骨とその間にある椎間板という組織で構成されます。椎間板は中央の髄核(ゼリー状の柔らかい組織)とそれを取り囲む丈夫なコラーゲン線維からなる線維輪で構成されていますが加齢に伴い水分が減少して変化が生じます。椎間板の高さが減ったり、それに伴って椎骨に骨棘(こつきょく)と呼ばれる骨の棘が生じます。個人差はありますがこのような変化のため周囲の神経が刺激され頚が痛くなる状態を頚椎症と言います。この場合、頚部痛だけでなくうなじ(項部)や肩甲部にも鈍い痛みがでることがありますが、多くの場合は薬物療法、温熱療法や軽い運動療法で様子を見れば十分です。しかし、この状態が進行して骨棘が手に行く神経の枝を圧迫すると、手の痛み、しびれ感、運動麻痺が生じ、この状態を頚椎症性神経根症と呼びます。またさらに変化が進行して脊髄の通り道が狭くなり脊髄自体が強く圧迫されるようになると、手足の使いにくさ(箸が使いにくい、歩きにくいなど)や、両手足のしびれ感、感覚障害、さらには尿や便の排泄障害(膀胱排尿障害)がでてきます。この状態を頚髄症(頚椎症性脊髄症)といいます。頚の症状だけでなく、手足や尿・便の症状が出てきた場合は、脊椎脊髄病の専門医の診察が必要になります。神経障害の程度を評価した上で、レントゲンで骨の状態を調べ、神経がどのようになっているかをMRIなどで検査します。軽いしびれ感や痛みであれば薬物などで様子を診ることもありますが、その症状がいっこうに良くならず加えて運動麻痺や筋力低下がでてくると手術が必要です。手術を含めた治療法に関しては、できれば脊椎脊髄病専門の整形外科医(脊椎脊髄病学会外科指導医)を受診することをお勧めします。手術は前方法(前方除圧固定術)と後方法(脊柱管拡大術)に大別されますが、何れの方法でも入院は10日~3週程で技術的にもほぼ確立されたものになっています。
頚椎には骨を上下方向に連結する靭帯がいくつかあり、それらの役割は首の骨を正常な位置に保持するだけでなく、首の異常な動きを制限して脊髄を保護することです。頚椎の椎体の前面、後面にはそれぞれ前縦靱帯と後縦靱帯があります。頚椎後縦靭帯骨化症とは脊髄に接している後縦靱帯が骨化して、脊髄を圧迫する病気です。欧米人に比較して日本人に比較的多く、その頻度は約3%とされています。また40~50歳台の男性に多く、糖尿病との関連が指摘されています。原因については遺伝子レベルでの研究が行われていますが、はっきりした結論は出ていません。診断は頚椎の単純レントゲン写真とCTで行いますが、脊髄の圧迫の程度をみるにはMRI検査が必要です。進行すると脊髄圧迫による頚部や肩の痛み、手足のしびれ感、手指の運動障害、歩行障害、膀胱直腸障害などを生じます。手足のしびれ感のみで症状が軽い場合は、装具をつけるなどして安静を保ち、薬物療法などの保存療法を行います。手指の運動障害(お箸が十分に使えないなど)や歩行障害(階段で手すりが必要になってきたなど)が出てきた場合には、手術が必要となる可能性が高いので、脊椎脊髄病指導医への受診を勧めします。手術は前方から骨化を薄くして浮上させるまたは取り除き、骨を移植して固定する方法(前方固定術)と、後方から椎弓を広げて脊髄の圧迫を解除する方法(椎弓形成術・脊柱管拡大術)があります。また症状がないか軽くても、転倒などの怪我で脊髄麻痺を生じることがあるので注意が必要です。
CTにて第2から第4頚椎椎体後方に大きな後縦靭帯骨化巣が見られます。右2つのMRI像では著明な脊髄圧迫の所見があります。
関節リウマチ(以下リウマチ)は手指の関節や膝、股関節の痛みが多いですが、せぼね(脊椎)に病気が及ぶこともあります。リウマチ脊椎病変の特徴は、せぼねの靱帯や関節、椎間板が悪くなり、骨がずれて不安定になることによって痛みや神経の症状が出てきます。せぼねにはくび(頚椎)、せなか(胸椎)、こし(腰椎)がありますが、この中でリウマチ病変は頚椎に多く発生します。リウマチ頚椎病変は3つに分けられ、まず頚椎の1番目(環椎)と2番目のほね(軸椎)がずれて不安定になる、“環軸椎亜脱臼”が起こります。これはリウマチにより靱帯や関節が悪くなり、特にくびを前に曲げる(屈曲)ときに、環椎が軸椎に対して前に大きくずれる(亜脱臼)結果、脊髄神経を強く圧迫します。脊髄神経が圧迫されると、手足のしびれ感や痛み、手足の動きの悪さを生じ、歩行や排尿排便に支障を来します。
続いて、第2頚椎が第1頚椎の頭側に出っ張ることを“垂直亜脱臼”と言います。垂直亜脱臼を生じると、出っ張った第2頚椎がくびの上にある脳を圧迫するため、さきほどの脊髄症状以外に、めまいやふらつきなどの脳神経症状が出ることもあります。最後に、“中下位頚椎亜脱臼”があります。さきほどの環軸椎亜脱臼や垂直亜脱臼は第1、第2頚椎という頚椎の上の部分の病変でしたが、これは中下位頚椎(第3頚椎~第7頚椎)に生じます。リウマチ頚椎病変が進んだ場合に生じるともいわれ、ずれた頚椎で脊髄神経が強く圧迫・障害を受けるとともに、さきほどの環軸椎亜脱臼や垂直亜脱臼を合併すると、くびのほねの強い不安定性とともに、高度な脊髄神経症状が出てきます。治療はリウマチの薬物治療に加え、痛みやしびれ感には鎮痛剤などの薬物治療を行います。不安定性が軽度であれば頚椎カラーの装着も効果があります。しかし脊髄や脳神経症状が出現すると、いったん痛んだ神経の回復が悪い場合があるため、手術治療を行うこともあります。手術はほねを削って脊髄神経の圧迫をとる除圧と、不安定なほねを金属で固定し骨で癒合させる固定術を行うことが多いです。
関節リウマチの患者さんは、手足のしびれ感や痛みが出たら病院で検査することをおすすめします。画像検査を行い、リウマチ頚椎病変があるかどうか確認して、適切な治療を選択する必要があります。
骨粗鬆症は骨の新陳代謝のバランスがくずれて、新しい骨を作るために骨をとかす働き(骨吸収)が新しい骨を作る働き(骨形成)を上回り、骨量が減少した状態をいいます(図1、図2)。
骨粗髪症になると骨がすかすかになるだけではなく、骨の質も変化するため、骨が脆くなります。骨の代謝は女性ホルモンの影響をうけるため、女性では閉経後に多く見られます。我が国では約1300万人の患者がいると推定されていますが、実際に治療を受けているのはそのうち20%程度(約260万人)と考えられます。骨粗鬆症では骨がもろくなるため、軽微な外傷で脊椎・手関節・大腿骨などの骨折が起こりやすくなります。脊椎に生じる骨折は四角い形をした脊椎が潰れる圧迫骨折といわれるものです(図3)。
骨粗髪症が進行すると、明らかな外傷がなくても圧迫骨折を生じる場合があります。骨折すると背中や腰の激痛を生じます。潰れた脊椎は元の形には戻らないので潰れた状態で骨がついていきます。このため、痛みがとれた後にも背中が丸くなる(円背、猫背)、身長が低くなるといった状態が残ります。日本人女性の骨粗鬆症性の圧迫骨折の有病率は、外国人女性と比較して高いことが報告されており、一度、骨折を起こすと次々に起こりやすくなることから、初期治療が重要と考えられています。骨の量は比較的簡単に計測できるので、病院にて検査を受け現在の自分の骨量を知ることが第一歩になります。骨量の減少がみられる場合、骨の量を増やしたり骨を強くする作用の薬物を投与します。またすでに圧迫骨折を生じてしまっている場合は、コルセットやギプスなどを使用して痛みを和らげたり脊椎変形の防止につとめます。適切な処置を病院で行わないと骨がつかなくなり痛みが持続する場合があります。圧迫骨折では保存治療が原則ですが、病院によっては骨折した部位に骨セメントや人工の骨(カルシウムペースト)を注入する治療を行っているところもあります。圧迫骨折の一部では、骨折した骨や脊椎変形のため脊椎の中を通る神経が障害され麻痺を生じる場合があり、手術が必要になることがあります。適切な薬剤治療を受け食生活や運動など生活上の注意点に留意することで、骨量減少をおさえ骨折の危険性を減少させることができますので、早めに脊椎脊髄病の専門医を受診することをお勧めします。ただし、歯の治療の際は、薬剤の継続使用について歯医者さんとご相談下さい。
脊椎腫瘍は脊椎骨(せぼね)にできた腫瘍です。脊椎腫瘍は初めから脊椎に発生した原発性脊椎腫瘍と他の部位にできた悪性腫瘍(がんなど)が転移した続発性脊椎腫瘍(転移性脊椎腫瘍)とに分類されます。さらに原発性脊椎腫瘍は良性と悪性に分類されます。原発性脊椎腫瘍の頻度はまれですが、種類も豊富で若年者から年配の方までの幅広い年齢層にみられます。一方、転移性脊椎腫瘍は中・高齢者に多い傾向にあります。原因として、肺がん、乳がん、前立腺がん、甲状腺がん、腎細胞がんなどが高頻度に認められます。
脊椎腫瘍の症状は、腫瘍によって骨が壊されて脊椎の支持性(体を支える機能)が失われて不安定となることによって生じる症状と、脊髄や馬尾、神経根などの神経組織が圧迫されて生じる症状とがあります。前者には首や背中、腰の痛みがあり、この痛みは座位や立位で増強し、横になって安静にすることで軽減します。一方、神経の圧迫に伴う症状は初期には上肢や下肢、体幹のシビレや痛みなどがあります。このシビレや痛みは安静時にも感じられる場合があり、更に進行すると上肢や下肢の運動麻痺、排尿・排便障害などが生じてきます。
診断はX線やMRI、CTなどの画像検査によって行われます。骨シンチグラフィーやPET-CTといった核医学検査が用いられることもあります。診断を確定する目的で生検(組織の一部を採取すること)を施行して病理組織検査を行うことがあります。腫瘍の種類に応じて、治療(手術療法、放射線療法、化学療法など)を行います。転移性脊椎腫瘍では原因となったがんの治療についても検討する必要があります。脊髄の圧迫に伴う麻痺をきたした場合には、神経機能の維持のためにも早急に診断・治療を開始する必要があります。したがって、頚や背中、腰の痛みが持続する場合や手足のシビレ、手指の使いにくさ、歩きづらさなどを自覚した際は必ず脊椎脊髄病の専門医を受診して原因をしっかりと調べ、できるだけ早期に適切な治療を受けることが大切です。早期に発見できれば出来るほど、多様な治療法を選択肢とすることが出来ます。
脊髄腫瘍とは脳からの信号を手や足に伝達する神経の束である脊髄やその枝にできる腫瘍です。脊髄腫瘍は脳腫瘍より数が少なく、一年間に10万人当たり1~2人程度の発生頻度といわれています。腫瘍の発生する部位によって硬膜外腫瘍、硬膜内髄外腫瘍、髄内腫瘍の3つに分類されます(図1)。最も頻度の高い硬膜内髄外腫瘍は脊髄を外から圧迫する形で発育し、運動麻痺や感覚障害、膀胱直腸障害といった症状を呈します。発生する腫瘍の種類としては神経鞘腫(図2)や髄膜腫といった良性のものが多く、ゆっくりと成長するため、腫瘍がかなり大きくなるまで症状が出ない場合もあります。髄内腫瘍は脊髄の中で腫瘍が成長し、正常脊髄を内側から圧迫します。やはり運動麻痺や感覚障害、膀胱直腸障害といった症状を呈します。発生する腫瘍は上衣腫(じょういしゅ)、星細胞腫(せいさいぼうしゅ)、血管芽細胞腫(けっかんがさいぼうしゅ)などがみられます。これらの腫瘍も確実に発育するため手術治療(腫瘍摘出術)が原則となります。しかし、正常脊髄と腫瘍の区別が困難で全摘出が出来ないこともあり、機能的および生命予後は腫瘍の種類に左右されます。
脊髄が高度に障害された場合、たとえ手術をしても回復が困難なことがありますので、早期発見と治療が不可欠です。手術では顕微鏡下での繊細な専門的技術を必要としますので早期の脊椎脊髄病の専門医への受診をお勧めします。
図2:硬膜内髄外腫瘍(神経鞘腫)のMRI側面像 (T2強調像:左図)とMRI横断像(T1造影:右図)。
腫瘍(黄矢印)により脊髄(白矢印)が高度に圧迫されている。
脊髄とは背骨の中のトンネルのような所(脊柱管)に存在し、脳と末梢神経をつなぐとても大切な神経の束です。手足を動きや手足の感覚とともに排尿や排便にも関与しています。
たとえば、交通事故にあい、大きな外力が頚椎に働くと頚椎が脱臼したり骨折するばかりでなく、その中を通っている脊髄を傷つけることがあります。脊髄が傷つくことを脊髄損傷といい、四肢体幹、膀胱直腸に様々な程度の麻痺を生じます。現在日本には10万人以上の脊髄損傷患者さんがおられ、毎年5,000人以上の新たな脊髄損傷患者さんが発生しています。受傷原因としては、交通事故、高所からの転落事故、転倒、スポーツ事故などです。麻痺は運動、感覚の消失した完全麻痺から、何らかの運動感覚の残存した不全麻痺に別れます。不全麻痺の程度も、歩行可能な場合から車椅子となる場合まで様々です。
また、麻痺の程度は受傷の瞬間が最大であり、時間経過とともに回復していくことは少なくありません。但し、初期に完全麻痺を生じた例の回復の可能性は、現時点では3-5%と極めて低いものです。しかしたとえ車椅子生活となっても、車の運転など自立した生活が可能となる割合は高いのです。そのためには、急性期から医師のみならず看護師、理学療法士、作業療法士などが一体となって継続した治療を行わねばならず、褥瘡や尿路感染などの脊髄損傷に頻発する合併症を予防しながらリハビリテーションを続けることが極めて重要です。
また近年は脊髄損傷に応用できる薬剤や細胞移植などの基礎や臨床が進んでおり、国内・国外で臨床治験も始まっています。患者さんへの治療として普及するにはまだ時間を要しますが、これらの治療法が将来の脊髄損傷の治療として期待されています。
脳や脊髄は液体の中に浮かんで、外部からの衝撃から守られています。この液体を脳脊髄液といいます。脊髄空洞症とは、脊髄という神経組織の中に脳脊髄液が貯まり、脊髄の中に「ちくわ」のように空洞ができる病気です(図)。この水溜まりが大きくなると脊髄を中から圧迫するので、手足のしびれ感や運動障害、排尿障害などの脊髄障害を生じる原因になります。現在ではMRIにより容易に診断ができるようになりました。厚生労働省の指定難病となっていて、現在推定患者数は2500人前後です。脊髄空洞症の原因は様々ですが、小脳が先天的に下っていて脳脊髄液の流れが妨げられたり(キアリ奇形)、脊髄損傷や脊髄炎に脳脊髄液の還流障害があります。稀に脊髄腫瘍による脊髄空洞症を認めることもあります。症状は片側の腕の感覚障害もしくは脱力で発病することが多く、重苦しい、痛み、不快なしびれ感ではじまることがあります。また特徴的 な感覚障害として温痛覚障害をきたすことがあります。
治療は症状を緩和する薬物療法と空洞を減少させる手術治療があります。手術法には、大後頭孔減圧術など脊髄液の流れを改善させる方法と空洞内に細いチューブを入れ貯まった水を空洞外へ流すシャント術があります。適切な時期に手術を行えば、空洞症を縮小させ進展を予防する事が可能です。顕微鏡を必要とする繊細な手術ですから、脊椎脊髄病指導医に御相談下さい。
脊髄の神経は部位によって分けられますが、背中の脊髄を胸髄と呼びます。何らかの原因により胸髄の神経が圧迫を受け神経障害が出現した状態のことを胸髄症(きょうずいしょう)といいます。胸髄を取り囲む胸椎(背骨)は胸郭によって安定し可動性が少なく頚椎や腰椎と比較すると加齢性変化が出現しづらい為、胸髄症は比較的稀な病態です。胸髄症の原因としては、椎間板が突出する胸椎椎間板ヘルニア、加齢性変化によって骨の棘(とげ)などが出現し脊髄を圧迫する変形性胸椎症、脊椎に存在する靭帯(後縦靭帯や黄色靭帯)が骨に変化してしまうことにより脊髄を圧迫する後縦靭帯骨化症や黄色靭帯骨化症などがあります(図1、2)。
一般的に中年以降に発症し、最初の症状は下肢のしびれ感や脱力であることが多く、徐々に体幹部にまで及び、体幹部の帯状の痛みを生じることもあります。症状が進行してくると歩行障害や膀胱直腸障害(頻尿、尿閉、尿失禁など)が出現します。最初の症状が下肢だけの場合は診断が難しく腰椎疾患を疑われることが多いため、診断までに時間を要することも稀ではありません。原因不明の下肢症状が持続する場合には脊椎脊髄病の専門医の受診をお勧めします。
化膿性・結核性脊椎炎は脊柱(せぼね)に細菌(ばいきん)が付着し骨の感染(骨髄炎)を起こした状態です。細菌感染によるものを化膿性脊椎炎、結核菌感染によるものを結核性脊椎炎(いわゆる脊椎カリエス)と呼びます。発症年齢は中・高齢者が大部分で、高齢化社会の到来によりその頻度は高くなっています。また、近年の傾向として、悪性腫瘍の術後や抗がん剤治療、糖尿病、肝硬変、腎不全による血液透析などの内科疾患を有して免疫力の低下した患者さんに化膿性脊椎炎がおこる頻度も増えてきています。一般的な症状は発熱や骨髄炎に伴う病巣部の痛みですが、膿がたまって神経を圧迫した場合には手足に進行性の麻痺を呈することもあります。菌の種類によっては発熱を伴わない場合も珍しくありません。
診断は血液検査に加えてX線やCT、造影剤を用いたMRIにより比較的容易ですが、脊椎腫瘍との鑑別が重要となります。早期の適切な診断と保存的治療(抗生剤投与と脊椎の安静)によって一般に比較的良好な経過をたどりますが、保存的治療に抵抗して改善しない場合や膿の貯留によって麻痺を生じた場合には手術療法の対象となります。また、高度に骨が破壊されている場合や特殊な細菌が原因の場合は治療に難渋することもあります。頚部や腰背部の痛みが持続する場合や手足のシビレ・痛み、歩きづらさなどを自覚した際は必ず脊椎脊髄病の専門医を受診し原因をしっかりと調べ、できるだけ早期に正しい診断に基づいた適切な治療を受けることが大切です。
透析を受けておられる方の身体にはアミロイドとよばれる変性した蛋白が蓄積されてきます。このアミロイドとよばれる物質はコラーゲンに親和性があり関節や脊椎に沈着しやすいという特徴をもっています。アミロイドの沈着は局所の炎症を引き起こし、やがては関節の破壊や靭帯の変化を引き起こします。脊椎では靭帯の変化によって脊髄などの神経が通っている脊柱管が狭くなったり、関節と同じ滑膜と呼ばれる組織のある歯突起周囲で破壊性の変化が生じたりします。このような病態を透析脊椎症と呼んでいます。加齢をベースとして生じる頚椎症などと同様に動きによる負担がかかる高位で生じやすい傾向があります。また透析をされている期間や透析導入の時期にも影響されます。椎間板と椎体とのつなぎ目での炎症が進行すると椎間板、骨の破壊が生じて本来の支持性や脊柱の姿勢が維持できなくなり変形や脊髄の障害を生じます。このような変形を破壊性脊椎関節症と呼んでいます。いずれの場合においても脊椎の他の疾患と同様に痛みが保存的な治療でとれない場合や、神経が障害される場合には手術が必要となります。透析を受けておられる方は骨がもろくなる傾向があり、手術に際しては全身の状態だけでなくそのような点についても検討されます。長期間透析を受けておられる方は症状がない場合でも機会を見つけて一度専門医を受診されるとよいでしょう。
脊椎は正面から見ると通常まっすぐですが、これが10度以上曲がっている場合に側弯症と診断します。側弯には原因が不明のもの(特発性)、先天性のもの、他の病気に伴って生じるものなどがありますが、思春期に側弯が明らかとなる思春期特発性側弯症が最も多く見られます。女児に多く見られ、側弯になると両肩の高さ、肩甲骨の出っ張り方、ウェストライン、お辞儀したときの肋骨の出っ張りなどが左右で異なってきます。自治体により異なりますが、小学校高学年あるいは中学の学校検診でこれらの点がチェックされます。側弯の疑いがもたれた場合は近くの整形外科でレントゲンをとり、治療が必要な側弯であれば側弯治療を行っている専門病院に紹介してもらうとよいでしょう。側弯症は成長期に進行することが多く、成長の停止とともに進行速度も遅くなります。しかし時には大人になったあとも進行する場合もあります。一定の角度以上で、進行の可能性が高い側弯には装具療法が行われます。側弯の進行を食い止められる治療法はこの装具療法のみで、マッサージや牽引、徒手矯正は無効とされています。一般的には脇から下のプラスティック製の装具を装着しますが、最初はお風呂や運動時などをのぞいてできるだけ一日中つけるようにします。成長が止まるにつれ装具の装着時間を短くしていき、成長がほぼ完全に止まった段階で完全に外します。側弯の角度が45度を超える場合には、整容の問題の改善や呼吸機能の低下、背中の痛みの発生を防ぐために手術が必要となる場合があります。いずれにせよ側弯症の治療は高度の専門知識を要しますので、脊椎脊髄病の専門医の受診をお勧めします。
脊椎後弯症は、文字通り、脊柱(=背骨)が後弯(前かがみに曲がる)になっている状態です。後弯の原因は多岐にわたります。強直性脊椎炎やびまん性骨増殖症といった脊柱が骨生に前屈みの状態でくっついてしまうものから、椎間板の加齢性変化や椎体骨折、あるいは背筋群の萎縮により、よい姿勢が保てず、立位や歩行で背中が前屈みになる脊椎後弯症があります。また、姿勢異常を来すパーキンソン病も脊椎後弯症をきたす代表的な疾患です。脊柱の後弯がひどくなってきて、骨盤での代償機能が破綻すると、股関節や膝関節へ負担がかかってきます。このように、脊柱の後弯がひどくなると、脊柱だけでなく、下肢への負担が生じます。一般的には、脊柱や骨盤、膝や股関節の拘縮予防と背筋の筋力維持・強化を行うことが推奨されます。日常生活への支障が大きい場合は手術療法を行います。手術は、写真のように広範囲にわたって金属を使って固定しますので、床のものを拾いにくいとか、足のゆびのつめを切りにくいといったことも生じる可能性がありますので、手術療法の選択に当たっては、主治医から手術により得られるメリット、デメリットについて十分な説明を受けて頂きたいとおもいます。
左は術前写真で、膝を伸ばすと前屈みになって、いくら顔を上に向けても前を向いて歩くことができないというのが主訴でした。右は手術後です。背骨を切ったり、椎間板にケージと言われる固定材を挿入し、広範囲に金属で背骨を固定して、姿勢がよくなり、前を向いて歩行ができるようになりました。
脊髄の周りには、内から外に向かい、軟膜、クモ膜、硬膜と3種類の膜があり、これらが脊髄を包んでいます。クモ膜と軟膜の間の隙間をクモ膜下腔といい、その中には脳脊髄液とい呼ばれる透明な液体があり、脊髄を保護しています。クモ膜の周囲に生じたる袋状の病変をクモ膜嚢胞といいます。嚢胞の中には、髄液と同一性状の液体がはいっています。またこれらの周囲に何らかの原因で炎症が生じると、それらの膜がくっついて癒着して脳脊髄液の正常な流れを妨げて、脊髄に空洞を生じることがあります。
本疾患の症状は嚢胞の圧迫による局所神経症状として四肢の麻痺、歩行障害、排尿障害などがありますが、脊髄空洞症を合併するとそれらの症状はより重症となります。
診断は適切な診察、MRIあるいは脊髄造影でなされます。
治療は症状のまったくない、偶然に発見された嚢胞の場合は経過観察で十分ですが、かなりの症状のある嚢胞や脊髄空洞症に対しては手術が必要といわれています。手術には脳脊髄液の流れを変えるバイパス術やシャント術などがあります。